頚椎ヘルニアとは?症状、診断方法、改善方法を徹底解説!

1. 頚椎ヘルニアとは?
頚椎ヘルニアは、頚椎(首の骨)の間にある椎間板が変性し、内側のゼリー状の髄核が外側の線維輪を突き破って飛び出す状態を指します。飛び出した髄核が神経根や脊髄を圧迫することで、首や肩、腕に痛みやしびれ、筋力低下などの症状を引き起こします。
頚椎は7つの椎骨で構成されており、その間に椎間板があります。椎間板は、衝撃を吸収し、椎骨同士が滑らかに動くのを助ける役割を果たしています。しかし、年齢を重ねるとともに椎間板は劣化し、弾力性が失われることで、ヘルニアが発生しやすくなります。
また、長時間のデスクワークやスマートフォンの使用、運動不足、不適切な姿勢なども頚椎ヘルニアのリスクを高める要因となります。これらの要因が積み重なることで、椎間板に過度な負担がかかり、ヘルニアが発生しやすくなります。
頚椎ヘルニアの治療には、保存的な方法から外科的な方法まで様々な選択肢がありますが、多くの場合、まずは保存的な治療(例:薬物療法、理学療法、カイロプラクティックなど)が試みられます。初期段階で適切な対応を行うことで、症状の改善や再発防止が期待できます。
頚椎ヘルニアの基本概念
頚椎ヘルニアは、首の部分にある椎間板が正常な位置から飛び出し、神経や脊髄を圧迫する状態を指します。椎間板は、首の骨(頚椎)の間に位置し、クッションのような役割を果たしています。頚椎は7つの骨で構成されており、それぞれの間に椎間板が存在します。
頚椎ヘルニアが発生する主なメカニズムは、椎間板の中心にある柔らかい髄核が外側の線維輪を突き破ることです。線維輪は、本来髄核を内部に保持する役割を持っていますが、何らかの理由で破れると、髄核が飛び出し、周囲の神経を圧迫します。
主な原因
頚椎ヘルニアの原因は多岐にわたりますが、以下のような要因が主に関係しています。
- 加齢による椎間板の劣化: 年齢とともに椎間板は水分を失い、弾力性が低下します。これにより、椎間板が破れやすくなり、ヘルニアが発生しやすくなります。
- 不適切な姿勢: 長時間のデスクワークやスマートフォンの使用、悪い姿勢などが椎間板に過度な負担をかけ、ヘルニアを引き起こすことがあります。
- 外傷や急な動き: スポーツや事故などで首に強い衝撃を受けると、椎間板が損傷し、ヘルニアが発生することがあります。
症状の進行
頚椎ヘルニアは初期段階では軽度の痛みや違和感から始まることが多いですが、次第に症状が進行することがあります。進行すると、以下のような症状が現れます。
- 首や肩の痛み: 頚椎から肩にかけて広がる痛みが特徴です。
- 腕や手のしびれや痛み: 飛び出した髄核が神経を圧迫することで、腕や手にしびれや痛みが現れます。
- 筋力低下: 圧迫される神経によっては、腕や手の筋力が低下することがあります。
診断と施術
頚椎ヘルニアの診断は、症状の確認と画像診断(MRIやCTスキャン)を用いて行われます。診断後は、保存的な施術(薬物療法、理学療法、カイロプラクティックなど)が主に行われます。カイロプラクティックでは、脊椎の調整や姿勢改善を通じて、症状の軽減と再発防止を目指します。
初めて頚椎ヘルニアの概念に触れる読者にとって、これらの基本情報を理解することで、自分の症状やリスク要因について正しく認識し、適切な対応を取るための第一歩となります。
症状と影響
頚椎ヘルニアは、首の部分の椎間板が突出し、神経根や脊髄を圧迫することによってさまざまな症状を引き起こします。これらの症状は、ヘルニアが発生した部位や圧迫される神経によって異なります。以下は、頚椎ヘルニアに共通する主要な症状とその影響です。
主な症状
- 首の痛み: 頚椎ヘルニアの初期症状として最も一般的です。首の後ろや側面に鈍痛や鋭い痛みを感じることが多いです。
- 肩や腕の痛み: ヘルニアが神経根を圧迫することで、肩や腕に放散痛が生じます。これは、腕の特定の部分に激しい痛みを感じることがあり、特に夜間や特定の動作で悪化することがあります。
- しびれや感覚異常: 神経圧迫により、腕や手の指先にかけてしびれや感覚の鈍さを感じることがあります。これらは特に長いデスクワークの時に顕著になります。
- 筋力低下: 圧迫された神経によっては、腕や手の筋肉の力が低下することがあります。物を握ったり持ち上げたりするのが難しくなることがあります。
- 頭痛: 頚椎ヘルニアによる緊張や神経圧迫が原因で、首の後ろから後頭部にかけて頭痛が発生することがあります。
日常生活への影響
頚椎ヘルニアの症状は、日常生活にさまざまな影響を及ぼします。具体的には以下のような影響があります。
- 仕事のパフォーマンスの低下: 長時間のデスクワークや体を動かす仕事では、痛みやしびれが集中力を妨げ、作業効率が低下することがあります。
- 睡眠障害: 痛みやしびれが夜間に悪化することがあり、眠りが浅くなったり、頻繁に目が覚めたりすることがあります。これにより、翌日の疲労感が増すことになります。
- 運動やスポーツ活動の制限: スポーツやフィットネス活動が痛みによって制限されることがあり、健康維持やストレス発散が難しくなることがあります。
- 心理的ストレス: 持続的な痛みや不快感は、イライラや不安感、さらにはうつ状態を引き起こすことがあります。日常生活の質が低下し、人間関係にも影響を与えることがあります。
早期対応の重要性
頚椎ヘルニアの症状を軽視せず、早期に適切な施術を受けることが重要です。早期の段階で適切な対応を行うことで、症状の悪化を防ぎ、日常生活への影響を最小限に抑えることができます。カイロプラクティックなどの施術を通じて、症状の管理と再発防止に努めることが望まれます。

2. 頚椎ヘルニアの診断方法
頚椎ヘルニアを正確に診断するためには、医師や専門家による詳しい検査が必要です。以下は、頚椎ヘルニアの診断に用いられる一般的な方法です。
症状の確認と問診
最初のステップは、患者の症状を詳しく聞くことです。問診では以下の点が確認されます。
- 痛みの部位と強さ: 痛みが首、肩、腕、手のどの部分にあるか、またその強さや頻度について尋ねられます。
- しびれや感覚異常: どの指や部分にしびれや感覚の鈍さがあるかを確認します。
- 過去の怪我や病歴: 頚椎に関連する過去の外傷や病歴も重要です。
- 生活習慣: デスクワークの有無、スマートフォンの使用時間、運動習慣なども問診で確認します。
身体検査
問診に続いて、医師は身体検査を行います。これには以下の項目が含まれます。
- 神経学的検査: 筋力、感覚、反射を調べて、どの神経が影響を受けているかを判断します。
- 可動域の確認: 首や肩の動きの範囲と痛みの出る動きを確認します。
- 姿勢の評価: 不適切な姿勢や体の使い方がヘルニアに影響を与えていないかを見ます。
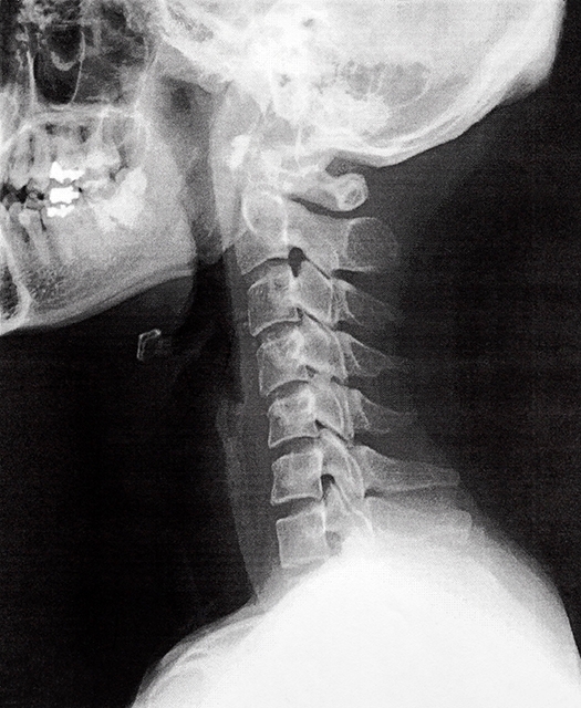
画像診断技術
頚椎ヘルニアの確定診断には画像診断が不可欠です。医療機関にて行う以下のような技術が用いられます。
- MRI(磁気共鳴画像法): MRIは頚椎ヘルニアの診断で最も一般的に使用される方法です。椎間板、神経、脊髄の状態を詳細に見ることができます。特に、椎間板の突出や神経圧迫の有無を確認するのに適しています。
- CTスキャン: CTスキャンは骨の構造を詳細に映し出すことができ、骨の変形や椎間板の石灰化などを確認するのに役立ちます。
- X線撮影: X線は骨の状態を確認するために使用されますが、椎間板自体は映らないため、ヘルニアの診断には補助的な役割を果たします。
その他の診断手法
場合によっては、さらに詳しい診断が必要なこともあります。以下のような追加の検査が行われることがあります:
- 神経伝導検査: 神経がどの程度機能しているかを評価し、神経の圧迫や損傷の程度を確認します。
- 筋電図(EMG): 筋肉と神経の活動を記録し、神経の損傷の程度や部位を特定します。
頚椎ヘルニアの診断は、多角的なアプローチが求められます。正確な診断を行うことで、適切な施術方法を選択し、効果的な治療を進めることが可能になります。
症状の確認と問診
頚椎ヘルニアの診断において、症状の確認と問診は非常に重要なステップです。これらは、患者の状態を正確に理解し、適切な診断と施術計画を立てるための基本となります。
症状の確認
まず、医師やカイロプラクターは、患者が感じている具体的な症状について詳しく聞きます。以下は、確認される主な症状です。
- 痛みの部位と強度: 患者は首、肩、腕、手のどの部分に痛みを感じるか、またその痛みがどれほど強いかを説明します。痛みが持続的か、一時的か、動作に伴って増すのかなども重要です。
- しびれや感覚異常: 手や指先にしびれや感覚の鈍さがあるかどうかを確認します。これらの症状が日常生活にどの程度影響しているかも重要です。
- 筋力の低下: 物を持ち上げる力や握力が弱くなっているかどうか、特定の動作が困難になっていないかを尋ねます。
問診
次に、問診では、患者の詳細な病歴や生活習慣を把握するために、以下のような質問が行われます:
- 発症時期と経過: 症状がいつから始まったのか、どのように進行しているのかを確認します。急に発症したのか、徐々に悪化しているのかも重要な情報です。
- 過去の外傷や病歴: 頚椎に関連する過去の怪我や病気がないかを尋ねます。これには交通事故やスポーツによる外傷も含まれます。
- 職業と日常生活の習慣: デスクワークが多いのか、重い物を持ち運ぶ仕事をしているのか、長時間同じ姿勢を続けることが多いのかなど、職業や日常生活の習慣が問われます。
- 既往症と家族歴: 他の病気の有無や、家族に同様の症状を持つ人がいるかどうかも確認します。遺伝的な要因が関与している場合もあるためです。
その他の関連質問
- 現在の治療や薬物使用: 既に他の治療を受けているか、痛みを和らげるために使用している薬があるかを尋ねます。
- 生活の質への影響: 痛みやしびれが日常生活にどの程度影響を与えているか、具体的な困難さについても確認します。例えば、夜間の痛みで眠れない、仕事や家事に支障が出ているなどです。
症状の確認と問診は、頚椎ヘルニアの正確な診断のために欠かせないプロセスです。これにより、医師やカイロプラクターは患者の状態を総合的に理解し、最適な施術計画を立てることができます。患者も、自分の症状や生活習慣について詳しく説明することで、より適切なケアを受けることが可能となります。
※病名を断定できるのは医師のみです。まずは、医療機関でしっかりと診断してもらうことを推奨します。

3. 一般的な頚椎ヘルニアの治療方針について
頚椎ヘルニアの治療には、保存的なアプローチから外科的な手法までさまざまな選択肢があります。以下は、一般的な治療法とそれぞれの特徴です。
保存的なアプローチ
- 薬物療法: 痛みや炎症を抑えるために、消炎鎮痛剤や筋弛緩剤が処方されます。これにより、痛みが和らぎ、生活の質が向上します。
- 理学療法: 理学療法士によるストレッチやエクササイズを通じて、筋力強化と柔軟性の向上を図ります。また、正しい姿勢や体の使い方を学ぶことで、症状の改善と再発防止に役立ちます。
- カイロプラクティック: カイロプラクターによる脊椎の矯正を通じて、神経の圧迫を軽減し、自然治癒力を高めます。正しい知識のあるカイロプラクターは、非侵襲的な手法であり、多くの患者にとって負担が少ないのが特徴です。
- 温熱療法と冷却療法: 温熱療法では血行を促進し、筋肉の緊張を和らげます。一方、冷却療法は炎症を抑え、痛みを軽減します。これらの療法は、家庭でも簡単に行えるため、日常的なケアとして有効です。
外科的施術法
- 椎間板切除術(ディスケクトミー): 神経を圧迫している椎間板の一部を取り除く手術です。これにより、神経への圧迫が解消され、痛みやしびれが軽減します。
- 椎弓切除術(ラミネクトミー): 椎骨の一部を取り除いて脊髄や神経根の圧迫を解放する手術です。広範な圧迫がある場合に適しています。
- 人工椎間板置換術: ダメージを受けた椎間板を人工のものに置き換える手術です。これにより、正常な椎間板の機能を回復させ、痛みを軽減します。

4.当院のカイロプラクティック施術の詳細
緑ヶ丘カイロプラクティックでは、以下のような施術法が用いられます。
- 第一頚椎の矯正: 手技を用いて、ズレた頚椎を正常な位置に戻すことで、神経圧迫を解消します。これにより、自然治癒力が高まり、痛みの緩和を目指します。また、頭部と頚椎のバランスが整う為、日常生活における頚椎の負担が減り、生活の質が高まります。
- 姿勢矯正: 日常生活での姿勢を改善するためのアドバイスを行います。正しい姿勢を維持することで、頚椎への負担を減らし、ヘルニアの再発を防ぎます。
- 生活習慣の見直し: 患者の日常生活や仕事の習慣を確認し、改善点を提案します。例えば、デスクワークが多い場合は、適切な椅子の選び方や座り方の指導を行います。
\ 詳しくはこちら/
患者様の声と施術実績
頚椎ヘルニアに悩む多くの患者様が、緑ヶ丘カイロプラクティックでの施術を受けて症状の改善を実感しています。下記リンクページより頂いたお客様の声を原文のまま乗せさせて頂いております。
施術法の選択
頚椎ヘルニアの施術法は、症状の重さや患者のライフスタイルに応じて選択されます。軽度から中程度のヘルニアの場合、まずは保存的施術法が試みられます。これらの方法で症状が改善しない場合や、症状が重度な場合には、外科的施術法が考慮されます。
施術の目標
どの施術法を選択するにしても、最終的な目標は以下の通りです。
- 痛みの軽減: 患者の痛みを軽減し、日常生活の質を向上させます。
- 機能回復: 頚椎や周辺の筋肉、神経の機能を回復させ、正常な動きを取り戻します。
- 再発防止: 正しい姿勢や生活習慣を維持することで、再発のリスクを減らします。
頚椎ヘルニアの施術は、患者一人ひとりの症状やニーズに合わせて最適な方法を選び、効果的に進めていくことが重要です。

5. 日常生活での予防方法
今現在首に不調を抱えている方が、頚椎ヘルニアを引き起こさないようにするポイントを下記にまとめています。また、現在頚椎ヘルニアでお悩みの方も痛みが強くない場合は、取り入れてみても良いと思います。
姿勢の改善とエルゴノミクス
日常生活での姿勢の改善は、頚椎ヘルニアの予防に非常に重要です。正しい姿勢を維持することで、頚椎にかかる負担を減らし、椎間板の劣化を防ぐことができます。以下のポイントに注意して、姿勢の改善を心がけましょう。
- デスクワーク時の姿勢: パソコンの画面は目の高さに合わせ、椅子に深く座って背筋を伸ばします。肘は90度に曲げ、キーボードやマウスは体に近い位置に置きましょう。
- 椅子の選び方: 腰をしっかりサポートする椅子を選び、座面の高さは足が床につくように調整します。腰部のサポートがしっかりしていることが重要です。
- スマートフォンの使用: スマートフォンを使う際は、目の高さまで持ち上げるようにし、首を前に突き出さないようにします。長時間の使用を避け、適度に休憩を取りましょう。
- エルゴノミクスの取り入れ: 職場や自宅の環境をエルゴノミクスに基づいて整えることで、頚椎への負担を減らすことができます。デスクや椅子の高さ、モニターの位置などを調整し、快適な作業環境を作りましょう。
※エルゴノミクスとは、人間が可能な限りの自然な動きや状態で使えるように設計した物をデザインに生かす学問のことで人間工学とも呼びます。
運動とストレッチの重要性
定期的な運動とストレッチは、頚椎ヘルニアの予防に効果的です。筋力を強化し、柔軟性を高めることで、頚椎への負担を軽減することができます。
ただし、現在痛みがある方は控えてください。無理に行うと悪化する可能性が高いです。
- 筋力トレーニング: 首や肩、背中の筋肉を強化するエクササイズを取り入れましょう。プランクやシュラッグなどの運動が効果的です。これにより、頚椎を支える筋肉が強化されます。
- 有酸素運動: 散歩やジョギング、水泳などの有酸素運動を定期的に行うことで、全身の血行が良くなり、筋肉の疲労が軽減されます。週に3回以上、30分程度の有酸素運動を目指しましょう。
- ストレッチ: 毎日、首や肩、背中のストレッチを行いましょう。首をゆっくりと前後左右に動かしたり、肩甲骨を寄せる動きをすることで、筋肉の緊張をほぐします。ストレッチは痛みを感じない範囲で行い、無理をしないようにします。
生活習慣の見直し
頚椎ヘルニアの予防には、生活習慣の見直しも重要です。日常の些細な習慣が、頚椎にかかる負担を軽減し、健康を維持する鍵となります。
- 定期的な休憩: 長時間同じ姿勢を続けないようにしましょう。デスクワークやスマートフォンの使用中は、1時間ごとに5~10分程度の休憩を取り、軽いストレッチや歩行を行います。
- 睡眠環境の整備: 快適な枕とマットレスを選び、寝ている間に首や背中に過度な負担がかからないようにします。仰向けや横向きで寝ることが推奨されます。
- 適切な体重管理: 過度な体重は頚椎に余分な負担をかけるため、適正体重を維持することが重要です。バランスの取れた食事と適度な運動を心がけましょう。
- ストレス管理: ストレスは筋肉の緊張を引き起こし、頚椎に悪影響を及ぼします。リラクゼーション法や趣味の時間を取り入れ、ストレスを適切に管理するよう努めましょう。
これらの日常生活での予防方法を実践することで、頚椎ヘルニアの発生リスクを減らし、健康な首と背中を保つことができます。自分の生活に合った方法を取り入れ、継続することが大切です。

6. 頚椎ヘルニアに関するよくある質問
下記に頚椎ヘルニアや当院の事でよく頂くご質問をまとめております。
よくある症状のQ&A
- 頚椎ヘルニアの初期症状は何ですか?
-
初期症状には、首や肩の痛み、腕や手のしびれ、筋力の低下などがあります。これらの症状は、特に朝起きたときや長時間同じ姿勢を続けた後に強く感じることが多いです。
- 頚椎ヘルニアが悪化するとどのような症状が現れますか?
-
症状が悪化すると、痛みが強くなり、腕や手のしびれや感覚の鈍さが増します。筋力低下が進行し、物を持つことや日常の動作が困難になることがあります。また、重度の場合、排尿や排便に問題が生じることもあります。
- 頚椎ヘルニアと診断された場合、日常生活で気をつけるべきことは何ですか?
-
姿勢の改善や、長時間同じ姿勢を続けないことが重要です。適度な休憩やストレッチを取り入れ、過度な負荷がかからないように心がけましょう。また、重い物を持ち上げる際には、正しい持ち方を意識することが大切です。
施術期間や効果に関する疑問
- 頚椎ヘルニアの施術期間はどれくらいですか?
-
施術期間は症状の程度や個々の回復力によって異なりますが、一般的には数週間から数ヶ月が目安となります。初期の段階であれば、数回の施術で症状が改善することもありますが、慢性的な場合はより長期的な施術が必要です。
- 施術の反応はどのくらいで実感できますか?
-
多くの患者様は、初回の施術から数回のセッションで痛みやしびれの軽減を感じ始めます。個人差はありますが、早期に施術を開始することで、より早く体感を得ることができます。
- カイロプラクティック施術は安全ですか?
-
当院のカイロプラクティック施術は専用の器具を使い、非常に弱い力で頚椎を矯正するのでとても安全です。また、多くの頚椎ヘルニアの症例を経験していますので、ご安心してお越しください。
- 施術後の生活で気をつけるべきことは何ですか?
-
施術後は、正しい姿勢を保ち、定期的なストレッチや運動を続けることが大切です。また、長時間のデスクワーク、首をそらす姿勢(美容院のシャンプーや歯科治療等)をしないように心がけ、頚椎に過度な負担がかからないように注意しましょう。施術後のフォローアップも重要なので、定期的なメンテナンスを受けることをお勧めします。
7.カイロプラクティック施術の安全性について
カイロプラクティック施術は、頚椎ヘルニアをはじめとする多くの背骨や関節の不調に対して効果的な手法です。しかし、日本ではカイロプラクティックや整体を資格なしで開業できるため、十分な知識や技術を持たない施術者に当たるリスクもあります。そのため、信頼できる専門家を選ぶことが非常に重要です。
当院の安心と信頼の理由
当院、緑が丘カイロプラクティックでは、患者様に安心して施術を受けていただけるよう、院長の豊富な経験と専門的な知識に基づいた施術を提供しています。
- 本場アメリカでの研修: 院長はカイロプラクティックの本場であるアメリカで、認定資格を取得しています。これにより、最新の知識と技術を習得し、高い施術水準を維持しています。
- 25年以上の開業実績: 当院は開業してから25年以上の実績があり、多くの患者様から信頼をいただいています。長年の経験を通じて培った技術とノウハウで、様々な症例に対応しています。
- 日本での医療経験: 院長はカイロプラクティックを学ぶ前に、7年間看護師として医療現場に従事していました。この経験により、医療の知識と患者様への理解を深め、より安全で効果的な施術を提供することが可能です。また、施術に関しては院長が全ての患者様に施術を行いますのでご安心ください。
安全性の確保と施術の特徴
当院では、以下の点に重点を置いて、患者様の安全を最優先に考えた施術を行っています:
- 詳細なカウンセリングと診断: 初回の来院時には、患者様の症状や生活習慣を詳しくヒアリングし、適切な診断を行います。これにより、個々の状態に最適な施術計画を立てます。
- オーダーメイドの施術: 患者様一人ひとりの症状や体調に合わせたオーダーメイドの施術を提供します。脊椎矯正や姿勢矯正、生活習慣の改善指導など、総合的なアプローチで症状の改善を目指します。
- 最新の技術と設備: 常に最新のカイロプラクティック技術と設備を導入し、最善の施術を提供しています。施術環境も清潔に保ち、安心して施術を受けていただけるよう努めています。
患者様の安全を守るために
カイロプラクティック施術を受ける際には、信頼できる施術者を選ぶことが重要です。当院では、院長の豊富な経験と専門知識を活かし、患者様の安全と健康を最優先に考えた施術を行っています。
患者様からは、「長年の痛みが改善された」「安心して施術を受けられる」といった多くの喜びの声をいただいております。皆様の健康を支えるパートナーとして、これからも質の高いカイロプラクティック施術を提供してまいります。安心してご相談ください。